Johannes Oberrauch | Undergraduate Student

I will finish my BSc. in Neuroscience at the University of Cologne in March 2026. During my studies, I was able to build a broad neurobiological framework through theoretical coursework and practical lab experience. Recently, I've been fascinated by aspects of computational neuroscience, from analysing large data sets in Python or R, to automated animal tracking or cell counting.

terminal

Contact_Information

ober-jo [at] protonmail (dot) com

Click to copy

database

Project_Log

My Bachelor Thesis

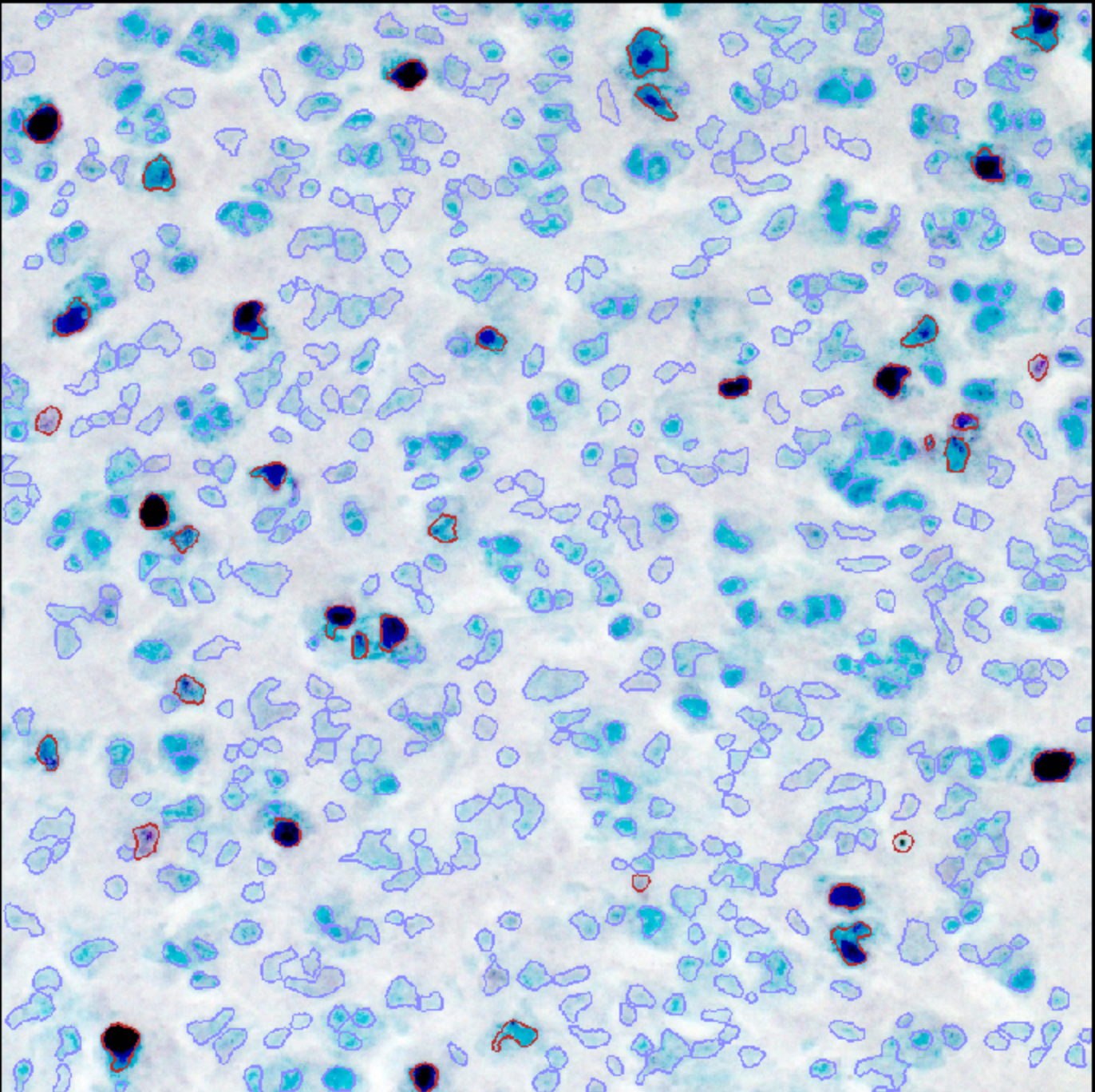
[immunohistochemistry] [deeplabcut] [hippocampus]
project poster

We presented 24 3-day old domestic chicks with either a familiar or unfamiliar scented object and analysed their behavioural and neural response.

Dementia Classification Assignment

[multilayer perceptrons] [python] [r]

As part of a Data Science course, we had to present a final project on a Kaggle dataset of our choosing. Using a Multi-Layer Perceptron, a deep learning algorithm, I successfully classified patients as demented or Non-demented, depending on variables such as cognitive ability, age or education.

FELASA Certificate

[animal science] [mouse] [domestic chick]
project poster

As part of my studies, I performed a certified lab-course that taught me to ethically handle laboratory mice (Functions A and D). Additionally, during my thesis project, I worked extensively with domestic chicks.